上顎洞の大きめな嚢胞摘出と歯根端切除術
左側6の根管治療を実施された患者様です。他院でマイクロスコープによる根管治療を受けておりましたが、上顎洞の嚢胞が縮小されないので当院で上顎洞嚢胞摘出、左側6歯根端切除手術を実施いたしました。
上顎左側6は抜歯という選択肢もありますが、抜歯した場合抜歯窩から上顎洞嚢胞を摘出することが難しく、頬側骨前壁を一部開窓し嚢胞摘出しなければ嚢胞が上顎洞内に残留するリスクがあります。
抜歯をしても、しなくても嚢胞を摘出するためには上顎左側頬側の骨を開窓する必要があるため、上顎左側6は抜歯ではなく歯根端切除を選択しました。

左側上顎洞内にうずら卵大の不透過像をみとめます。左側6は根管充填が実施されています。


左側6の根尖から連続して上顎洞粘膜が挙上されています。上顎洞病変の内部に根管治療材の一部迷入しています。今後残留していると病変に影響を与える可能性も否定できませんでし、病変の増大悪化考えられました。
そこで当院の外来にて左側上顎6歯根端切除術と嚢胞摘出術を実施することを提案し、患者様のご同意を得られましたので手術を実施することとしました。

摘出部:上顎洞前壁の菲薄化している骨を開窓して上顎洞内の嚢胞を可及的に一塊で摘出し、左側上顎6の歯根端切除術を実施しました。

左側上顎6の歯根は経上顎洞的に頬側根 口蓋根を切除しました。上顎洞内の嚢胞と嚢胞内の歯科材料異物は摘出されています。(術中CT)

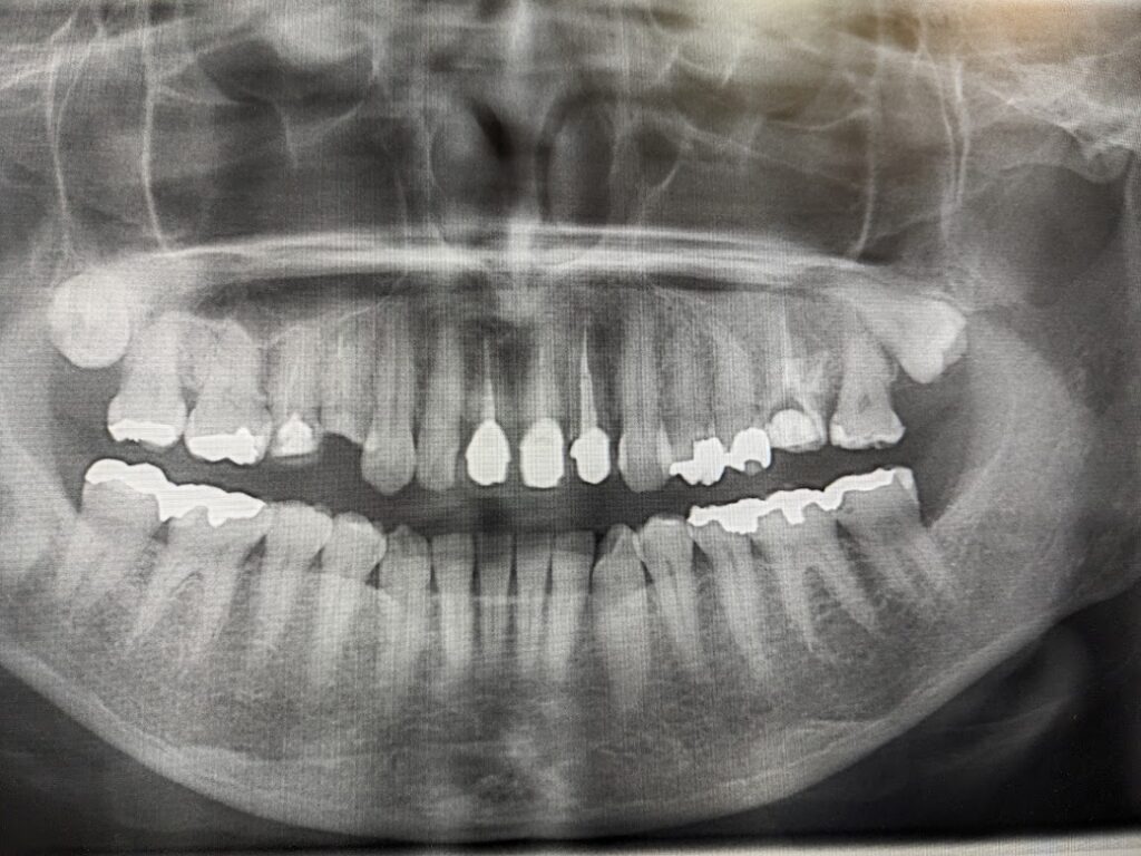
術後のパントモ写真になります。現在6ヶ月経過していますが上顎洞炎症状も認めず経過良好です。


