治癒しない根尖病巣の相談~歯根端切除

右側上の尾翼(右鼻の脇)付近の違和感に悩まされていた患者さまです。1年以上前に右尾翼(右鼻の脇)の違和感が続くため耳鼻科を受信されたとの事です。耳鼻科では特に問題ないと言われ、「歯科受診」を勧められたそうです。そこで歯科医院を受診し右上2の根尖部に病巣があるため根管治療を開始したとの事です。約1年位通院されて根管の中に根管充填処置をして頂いたいとの事ですが、歯肉の膨隆がつづき痛みや違和感が続くため担当していた歯科医院で相談したそうです。
病巣の回復が思わしくないため口腔外科にて手術を勧められたとの事でした。患者様はネット検索から当院に受診されています。

初診時の口腔内写真です。右上2の根尖部のやや硬めで小豆大の膨隆を認めました。

右上2の根管内には白い不透過像を認め根管充填されています。根尖部の透過像をみとめ頬側に膨隆を認める事からCTにて精査を実施することとしました。

CTに頬側の皮質骨は完全に消失しており、鼻腔底に向かって進展していることを疑わせる拇指頭大の透過像を認めます。幸い口蓋側の骨にまで病巣は進展しておりませんでした。患者様に現在の状況と当院での治療方針、予後についてご説明いたしました。
マイクロスコープにて歯根端切除術、嚢胞摘出術を実施いたしました。

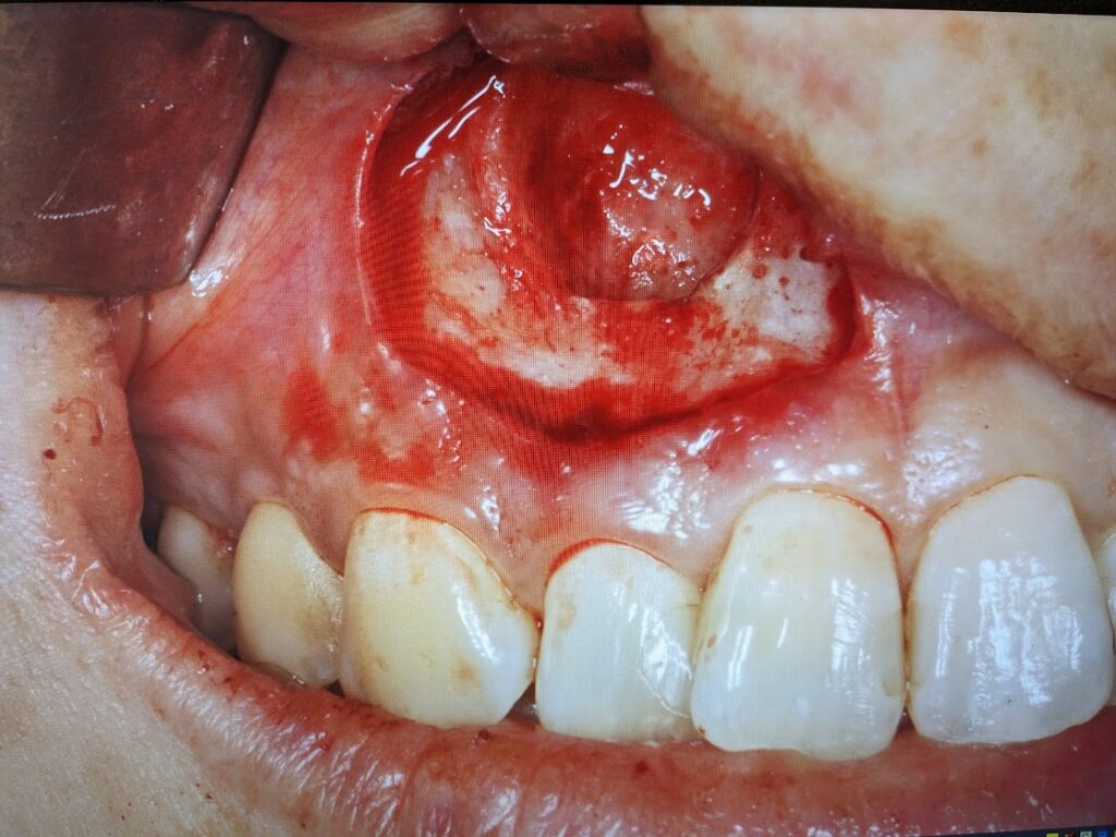
手術直前の写真です

歯肉退縮を避けるように切開線を設定して歯肉粘膜骨膜弁を剥離していきますと骨膜と癒着した嚢胞壁が認められました。骨膜と癒着した嚢胞壁をできるだけ丁寧に剥離していきます。マイクロスコープを使用しますと裸眼で手術するより骨膜と嚢胞壁の堺目が良く分かります。

骨膜と分離した嚢胞を明示します。今度は骨内にある嚢胞をできるだけ一塊に摘出していきます。

嚢胞壁は菲薄化した部分が裂けると中の膿が排出されるため縮小します。

嚢胞を摘出しますと、原因である右上2の歯根が露出されます。

露出した歯根は切断し摘出します。切断面はセメントかスーパーボンドにて被覆します。(歯根端切除術)

歯根を切断しますと大きな洞穴(嚢胞腔)をみとめます。この中に残留異物がないか良く掻爬して確認します。

縫合処置を実施して手術は終了です。現在経過観察中です。


