歯科治療で用いる骨再生補填材の紹介 2
下顎前歯部の歯根嚢胞
下顎前歯部の歯根嚢胞の患者様です。かかりつけの歯科医院から口腔外科の受診を勧められ、インターネットで口腔外科を検索し、当院を受診されたとのことでした。下顎前歯部に歯根嚢胞を認める患者様です。
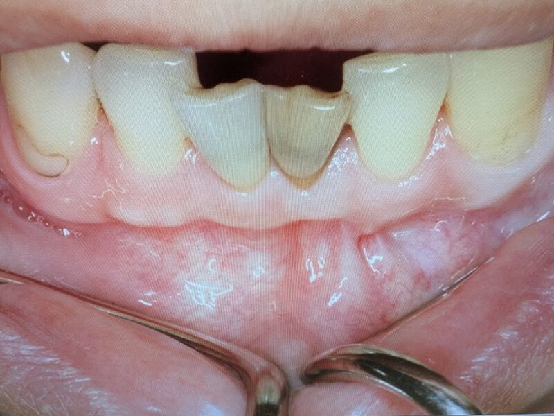
初診時は、下顎前歯部には根管治療が未実施で、頬側の歯肉に膿瘍を形成しておりました。患者様に状態を説明し、根管治療の後、外科的歯根端切除術および嚢胞摘出術を行う治療計画を説明しました。
下顎前歯1番(中切歯)の歯根の先端部に透過像を認めます。

前歯1番の左下の歯肉に膿瘍が形成されておりました。患者様には状態を説明して根管治療から開始しました。

初診時のCT画像所見です。下顎前歯部の骨が大きく吸収していることが分かります。

根管治療を行い、歯肉の膿瘍が消失しています。手術の準備が整いましたので手術を実施いたします。

切開を実施いたします。

歯肉粘膜骨膜弁を剥離していきます。嚢胞壁は骨膜と癒着していため、鈍的に剥離を進めます。できるだけ嚢胞壁を壊さないようにします。
※歯肉粘膜骨膜弁(しにくねんまくこつまくべん)とは:歯科手術で、歯ぐき(歯肉・粘膜)と骨膜を一体で切開してめくり、処置後に元へ戻して縫合するフラップ(歯ぐきのフタ)のこと

骨内の嚢胞にアプローチします。ガーゼで鈍的に剥離します。

骨内と嚢胞が分離してきています。上方に病巣の原因である歯根の先端が確認されました。

嚢胞壁を壊さないように骨から分離を行います。

骨内で嚢胞の剥離を進めます。

嚢胞を摘出します。

摘出された嚢胞です。

骨再生補填材を入れます。

タブレット状のボナーク(骨再生補填材)で封鎖いたします。

術後3か月です。


術後1年経過しています。CT画像から骨の再生が起きていることが確認されました。特に頬側の皮質骨が再生しています。

歯根の先に嚢胞ができてしまった場合、「歯根端切除術」や「嚢胞摘出術」という外科的な治療を行うことによって抜歯を回避することが可能です。
私はこの治療を20年以上行なってきましたが、その中でひとつはっきりしていることがあります。
それは、「骨を補う材料(骨再生補填材)を使うかどうか」で、治り方に差が出るということです。
骨再生補填材を使うことで、失われた骨の回復がスムーズになり、結果として再発のリスクを抑えられるケースが多く見られます。
ただし、この骨再生補填材にはひとつ大きな制約があります。現在の制度では、保険診療と自費診療を同時に行うことが認められていないため、骨再生補填材を使用する場合は自費診療でのご案内となります。
当院では、こうした制度をきちんと守ったうえで、
- 再生材を使わない保険治療
- 再生材を使用する自費治療
それぞれのメリット・デメリットをしっかりご説明しています。そのうえで、患者様ご自身にご納得いただいた治療方法を選んでいただいております。治療の選択に迷われる方も多い分野ですので、不安な点があれば遠慮なくご相談ください。


