「前歯を綺麗に治すこと~う蝕治療とレジン修復」
今日は前歯のう蝕治療のお話です。
「前歯や目立つ場所の小さなう蝕治療」はう蝕を除去した後にレジンという材料を使って修復いたします。う蝕治療は歯科医師にとって基本的な治療になりますが、前歯をレジンで綺麗に治すのは以外に難しい治療でもあります。
レジン修復は保険診療と自費診療と選択することが可能ですが、当院では基本的に保険診療でレジン修復を行っています。
今回はう蝕治療の流れの一部を写真を含めてご紹介いたします。
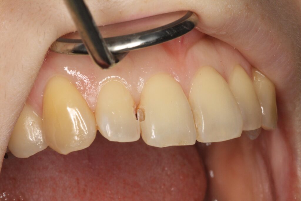
写真の患者様は以前治療した場所の段差と着色変化が気になるとのご相談でした。前歯の修復治療にはレジンという材料を使用しますが、写真の患者様は材料が歯肉にやや被ってしまい色は経年変化で茶色に変色しており、一部う蝕になっておりました。(レジンは吸水性があるため年数を経ると色が変化していきます)

そこで経年劣化したレジンとその周囲からう蝕になっている部分を削除しました。(下の写真は削除している途中です)

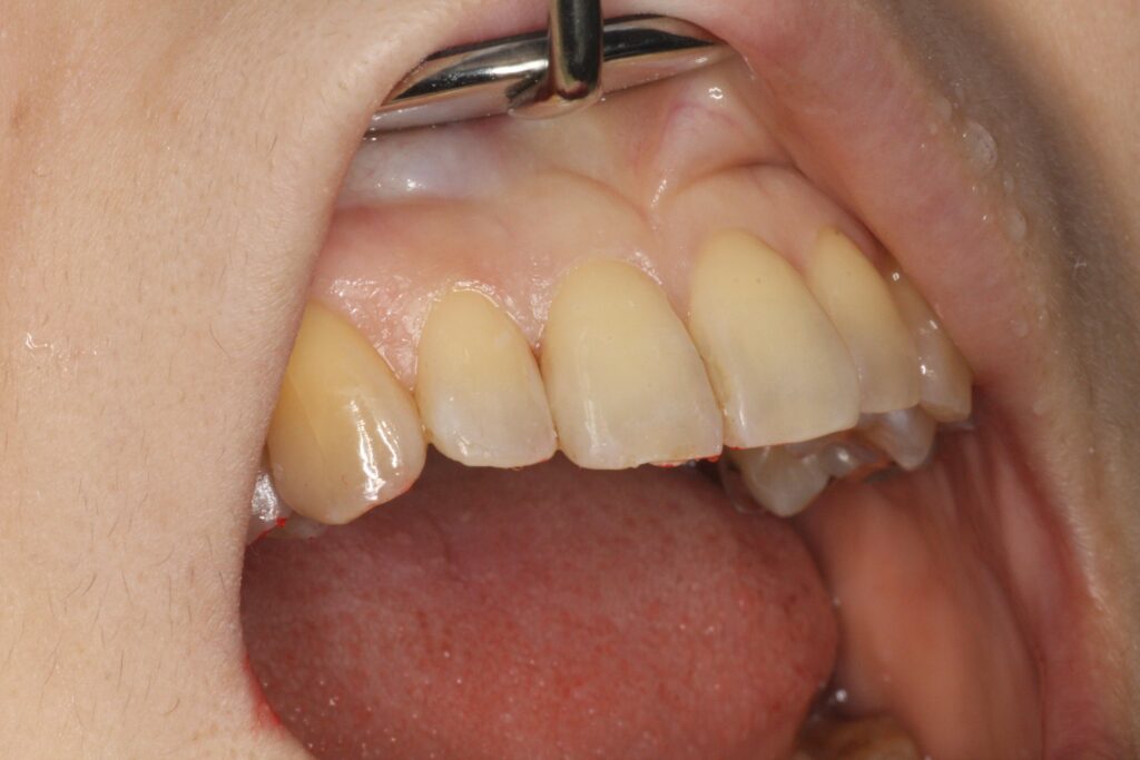
削除した後に、新しいレジンにて修復いたしました。綺麗に修復できていると思います。

保険診療ではありますが、レジン修復はお時間がかかりますので、診療が混雑しない時間帯に30~45分程度お時間を頂きできるだけ丁寧に修復しています。前歯のう蝕や昔のレジン修復の着色変化が気になっている方是非ご相談お待ちしています。



